Le Service Cardiologie
Du lundi au samedi, toute l’année.
Le service de cardiologie d’AzurVet est dédié au diagnostic et à la prise en charge des affections cardiaques congénitales et acquises chez les animaux de compagnie.
Il s’appuie sur des examens spécialisés de pointe et une expertise clinique approfondie afin d’assurer un suivi précis, des traitements adaptés et une collaboration étroite avec les vétérinaires référents.
Les consultations de cardiologie durent généralement 30 à 45 minutes.
L’animal doit être à jeun depuis 12h, au cas où une tranquillisation soit nécessaire, mais il peut boire jusqu’à 3h avant l’examen.
Les échocardiographies sont assurées par l’un des radiologues d’AzurVet en fonction de la difficulté de l’examen.
Les Motifs de Consultation
Les maladies cardiaques peuvent être congénitales (malformation cardiaque présente depuis la naissance) ou acquises (maladie qui apparaît au cours de la vie). Elles peuvent être liées à une anomalie morphologique, hémodynamique ou rythmologique. Les signes cliniques les plus fréquemment associés à une maladie cardiovasculaire sont :
- Souffle cardiaque ou autre anomalie décelée à l’auscultation cardiaque (ex : bruit de galop)
- Difficultés respiratoires
- Syncope ou Malaise
- Toux
- Trouble du rythme cardiaque
- Intolérance à l’effort
- Retard de croissance
- Abdomen distendu lors d’épanchement abdominal
- Paralysie chez le chat
Les Cardiopathes
Les cardiopathies sont le plus souvent familiales, il peut être nécessaire de rechercher une affection cardiaque sur les autres membres de la lignée lorsqu’une cardiopathie est décelée chez un individu.
Certaines races sont prédisposées pour certaines cardiopathies comme par exemple :
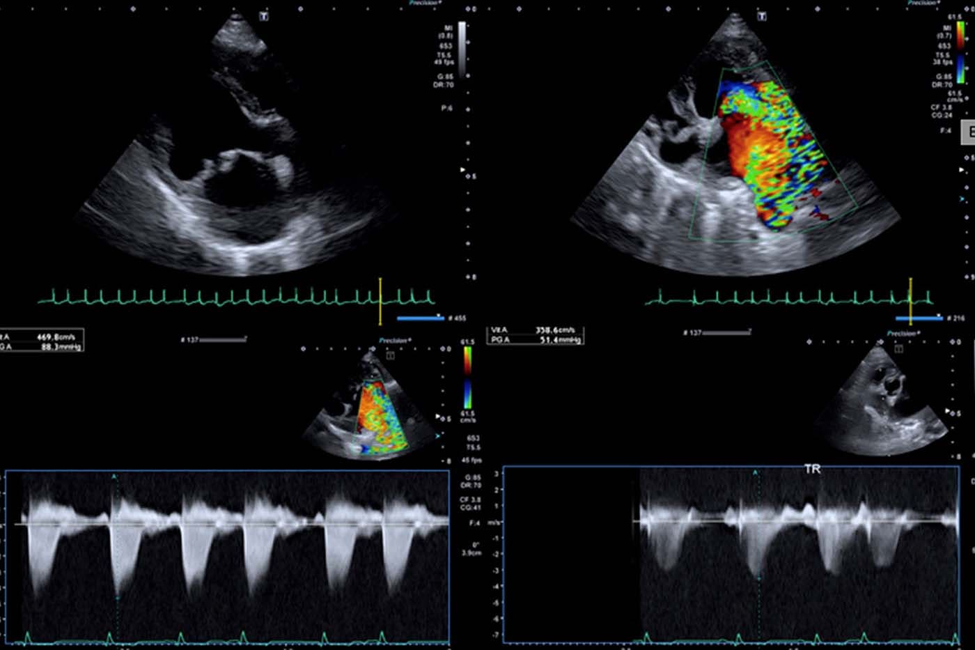
Les Examens disponibles
- Consultations avec échocardiographie
- Mesure de pression artérielle
- Électrocardiogramme (ECG)
- Examen avec produit de contraste (angioscanner)
- Tests sanguins (biomarqueurs cardiaques, tests génétiques).
Ces examens permettront d’établir un diagnostic, de préciser le pronostic et de vous proposer un traitement médical (ou chirurgical si besoin).
Les salles de Cardiologie






