-
Identifier les glandes surrénales à l’échographie
Le Dr Florian Azoulay vous explique comment trouver les glandes surrénales à l’échographie.
-
Reconnaître les types d’opacification pulmonaire
Quelles sont les opacités anormales visibles sur ces radiographies (profil latéral droit et VD) ? 1 – Opacité bronchique. 2 – Opacité interstitielle et bronchique. 3…
-
À propos des méningoencéphalomyélites canines
1/ Les méningoencéphalites chez le chien sont secondaires à des causes infectieuses le plus fréquemment en France ? Réponse : Faux Le terme méningoencéphalomyélite indique une inflammation…
-
Comment reconnaître une torsion de lobe pulmonaire à l’imagerie ?
DEFINITION : La torsion de lobe pulmonaire est une affection rare mais grave, pouvant survenir spontanément ou à la suite de pathologies thoraciques préexistantes telles que…
-
Savoir différencier un AVC d’une tumeur à l’imagerie
Quizz 1 : AVC hémorragique ou processus néoplasique sur ce chien de berger de 10 ans présenté pour des crises convulsives d’apparition aiguës ? Quizz 1 : la…
-
L’avulsion du triceps chez un chat
Radiographie du coude D d’un jeune chat de 11 mois présenté pour boiterie aigue avec supression d’appui : quel est votre diagnostic ? ☑️ Une fracture du…
-
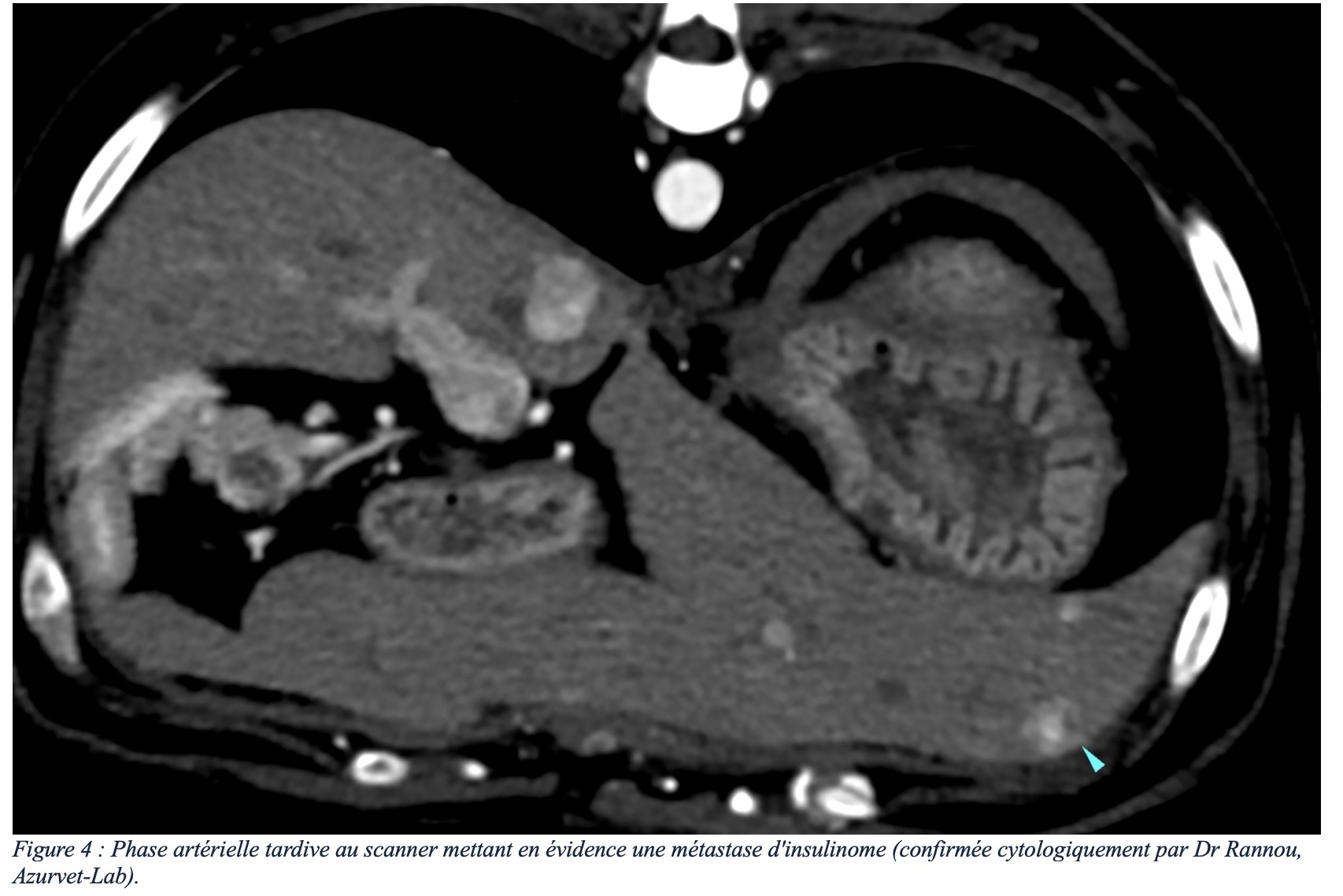
L’importance de l’imagerie lors d’insulinome
L’insulinome est une tumeur neuro-endocrine peu fréquente, rencontrée chez le chien et le furet et de façon beaucoup plus rare chez le chat. Les signes…
-
Quelles anomalies jéjunales échographiques observez vous ?
Voici les images échographiques d’un Pinscher de 9 ans présenté pour diarrhée aigue depuis 4j avec hypoalbuminémie à 12g/L mise en évidence par le vétérinaire…
-
Réaliser une échographie rénale chez le chien
Dans cette vidéo, le Dr. Vét. Swann BARTHE vous explique en vidéo comment échographier un rein chez le chien.











