Cytoponction d’une masse cutanée de 1,5cm sur le 3e doigt du membre thoracique gauche chez un Golden Retriever. Quel est votre diagnostic ?
1 – Un mastocytome
2 – Un plasmocytome
3 – Un histiocytome cutané bénin
4- Un lymphome cutané
Si vous avez coché le choix 2, c’est la bonne réponse 😁
Le mastocytome, le plasmocytome, l’histiocytome cutané bénin et le lymphome sont quatre tumeurs à cellules rondes qui se caractérisent à l’examen cytologique par un tapis, souvent dense, de cellules rondes arrangées individuellement. Les caractéristiques cytomorphologiques des cellules permettent néanmoins dans la majorité des cas de différencier ces quatre tumeurs.
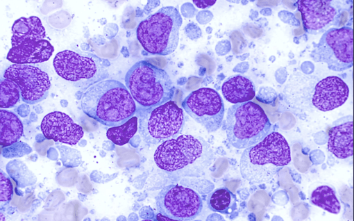
Plasmocytome :
Les plasmocytes présentent un rapport nucléocytoplasmique modéré à élevé ainsi qu’une anisocytose et une anisocaryose modérées. Ils sont caractérisé par un cytoplasme est peu à modérément abondant, basophile et contient généralement une zone préi-nucléaire plus claire (archoplasmique). Leur noyau est rond à ovale, excentré, et contient une chromatine réticulée à légèrment mottée avec un ou deux petits nucléoles ronds peu visibles.

Figure 1 : Plasmocytome cutané, MGG, Objectif x50 (huile à immersion)
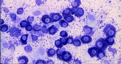
Mastocytome :
Les mastocytomes se caractérisent le plus souvent par un cytoplasme modérément abondant contenant de nombreux granules pourpres. Leur noyau est souvent peu visible en raison des nombreux granules cytoplasmiques présents dans la cellule. Des granulocytes éosinophiles peuvent accompgnés les mastocytes.

Figure 2 : Plasmocytome cutané, MGG, Objectif x50 (huile à immersion)
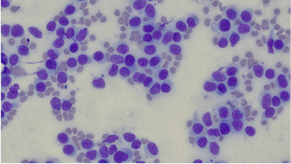
Histiocytome cutané bénin:
Les histiocytes se caractérisent par un cytoplasme modérément abondant, légèrement basophile, et aux contours nets. Leur noyau est rond à ovale, central ou excentré, et contient une chromatine réticulée à légèrement mottée avec parfois un ou deux nucléoles discrets. A noter que bien que la tumeur soit bénigne, des figures de mitose peuvent être régulièrement observées. Ces histiocytes peuvent être accompagnés de petits lymphocytes sans atypies.

Figure 3 : Histiocytome cutané bénin, MGG, Objectif x50 (huile à immersion).
Lymphome cutané :
Lors de lymphome cutané, on observe le plus soiuvent une population de cellules lymphoïdes blastiques caractérisées par un cytoplasme peu abondant, basophile et granulaire et par un noyau rond à ovale contenant une chromatine finement granulaire ou finement réticulée contenant un à plusieurs nucléoles.

Figure 4 : Lymphome cutané, MGG, Objectif x50 (huile à immersion).
Marco Zingariello, DVM, Ancien résident en biologie médicale ACVP (pathologie clinique)
