Quelle démarche diagnostique lors d’AVC ?

L’imagerie par résonance magnétique (IRM) est la technique de choix pour identifier un accident vasculaire cérébral (AVC) :

1 – Vrai

2 – Faux

Si vous avez coché Vrai, c’est la bonne réponse 😁

Un accident vasculaire cérébral (AVC), bien connu des propriétaires et parfois appelé « attaque cérébrale » ou « infarctus cérébral », correspond à une encéphalopathie secondaire à une perturbation du flux sanguin cérébral soit par occlusion (AVC ischémique) soit par rupture (AVC hémorragique). Les AVC ischémiques sont considérés plus fréquents que les AVC hémorragiques en médecine vétérinaire. Cliniquement, un AVC se caractérise par la survenue suraiguë de signes nerveux focaux, non progressifs (sauf parfois dans la phase initiale) et persistants plus de 24h. Par opposition les accidents ischémiques transitoires (AIT) durent moins de 24h mais restent peu décrits en médecine vétérinaire. Le terme AVC est un diagnostic qui ne doit pas être confondu avec certains syndromes (vestibulaire notamment) trop souvent qualifiés d’AVC alors que la cause n’est pas vasculaire. L’exemple le plus connu étant le syndrome vestibulaire périphérique idiopathique (ou du « chien âgé ») qui est lié à un dysfonctionnement du vestibule et non pas à un AVC !

Comme pour toute encéphalopathie, l’IRM est la technique de choix pour diagnostiquer les AVC, l’IRM étant considérée nettement plus sensible que la tomodensitométrie (« scanner ») pour la détection des AVC ischémiques. L’avènement de l’IRM en médecine vétérinaire a permis de diagnostiquer un nombre substantiel d’AVC chez le chien et le chat alors que cette pathologie était considérée très rare chez les carnivores domestiques auparavant.

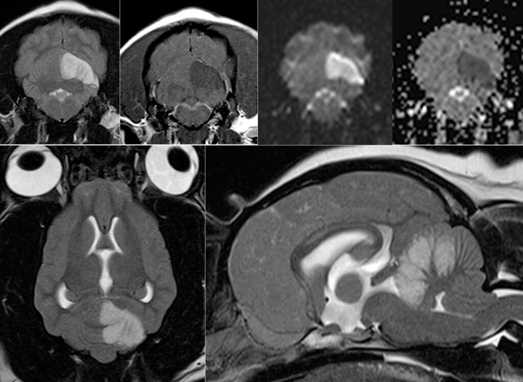
Les AVC ischémiques sont visibles en IRM dès les premières heures après leur survenue et se caractérisent par une lésion hyperintense en séquence T2, hypointense en séquence T1, à bords nets, un effet de masse faible à modéré et une prise de contraste tardive (maximale vers 7-10 jours). Ajoutées aux séquences conventionnelles, les séquences de diffusion permettent d’augmenter la performance de l’IRM (Figure 1) et sont utiles pour distinguer les AVC ischémiques des tumeurs gliales pouvant parfois mimer un AVC.

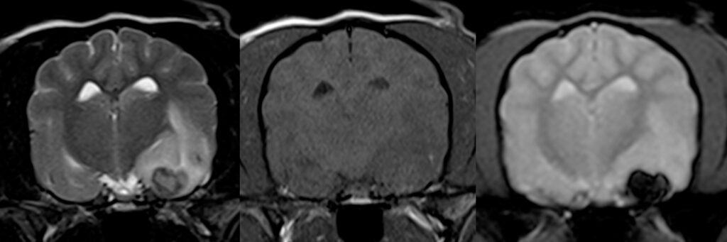
Les AVC hémorragiques ont un comportement particulier bien visible en IRM en raison de la teneur et de l’évolution dans le temps de l’oxyhémoglobine contenue dans l’hématome. Les séquences en écho de gradient (T2*) exploitent cette caractéristique, les lésions hémorragiques étant particulièrement hypointenses dans cette séquence (Figure 2). La distinction des AVC hémorragiques de certaines tumeurs hémorragiques reste parfois délicate même si ces dernières ont plus souvent un contenu hétérogène voire une zone non hémorragique.

La tomodensitométrie est presque toujours normale lors d’AVC ischémique. De très rares cas sont parfois identifiés sous la forme d’une zone hypodense éventuellement associée à une prise de contraste périphérique. Tout en restant inférieure à l’IRM, la tomodensitométrie est assez sensible pour la détection des AVC hémorragiques, ceux-ci apparaissant hyperdenses précocement par rapport au tissu cérébral, cette hyperatténuation se normalisant progressivement 1 mois après. Une prise de contraste périphérique est possible 6 jours à 6 semaines après l’AVC hémorragique. En cas de doute sur l’origine hémorragique d’une lésion en scanner (notamment pour distinguer un AVC hémorragique d’une tumeur hémorragique), un examen de suivi scanner peut être proposé 6-8 semaines après si une IRM n’est pas disponible. Une normalisation des images est alors attendue à ce délai pour un AVC hémorragique.

Figue 1. IRM d’un AVC ischémique cérébelleux rostral chez un cavalier King Charles spaniel.

De gauche à droite, haut : séquences transverses T2, T1, diffusion, ADC.

De gauche à droite, bas : séquences T2 dorsale et sagittale.

Noter l’aspect bien délimité sans effet de masse de la lésion sur toutes les séquences

Figure 2. IRM d’un AVC hémorragique temporal gauche chez un chien Shetland.

De gauche à droite : séquence transverse T2, T1 et écho de gradient (GRE).

Noter l’aspect parfaitement hypointense (« noir ») de la lésion en GRE typique d’une lésion purement hémorragique.

Lors de diagnostic d’AVC ischémique, des dysendocrinies et des maladies favorisant une hypertension artérielle doivent être recherchées :

1 – Vrai

2 – Faux

Si vous avez coché le Vrai, c’est la bonne réponse 😁

Lors d’AVC ischémique, un facteur favorisant a été retrouvé dans la moitié des cas dans une étude (Garosi, 2005). Une hypertension artérielle systémique a été retrouvé dans 28% des cas associée à une maladie rénale chronique (notamment avec perte protéique) dans 24% des cas ou à un hypercorticisme dans 18% des cas. La liste des causes prédisposant aux AVC ischémiques est la suivante :

  • hypertension artérielle : maladie rénale avec perte protéique, hypercorticisme, hyperthyroïdie (chat), hyperaldostéronisme (chat), phéochromocytome (chien)
  • athérosclérose: hypothyroïdie (chien), hyperlipidémie (Schnauzer miniature)
  • cardiopathie
  • embolie fibro-cartilagineuse
  • infectieux : sepsis, endocardite, leishmaniose, migration parasitaire (Cuterebra), embolie parasitaire (Dirofilaria)
  • tumoraux : lymphome intra-vasculaire, métastases.

La découverte d’un AVC ischémique en IRM impose donc une batterie d’examens complémentaires pour identifier puis traiter la cause éventuelle :

  • mesure de pression artérielle
  • analyses sanguines de routine : NFS, biochimie complète (incluant cholestérol, trigycérides)
  • analyse urinaire incluant un RPCU
  • sérologie Leishmania
  • dosages hormonaux : RCCU ou test ACTH, T4/TSH
  • échocardiographie
  • radiographies thoraciques et échographie abdominale ou scanner thorax/abdomen.

Lors de diagnostic d’AVC hémorragique, une coagulopathie est forcément en cause :

1 – Vrai

2 – Faux

Si vous avez coché Faux, c’est la bonne réponse 😁

La coagulopathie n’est pas la seule cause d’AVC hémorragique. Un AVC hémorragique résulte très rarement d’une rupture vasculaire spontanée chez le chien et le chat, contrairement à l’homme (AVC primaire). Les AVC hémorragiques sont surtout secondaires chez le chien :

  • rupture d’une malformation vasculaire
  • infectieux : sepsis, leishmaniose
  • angiopathie amyloïde (chien âgé)
  • vasculite nécrosante
  • AVC ischémique (conversion d’un AVC ischémique en AVC hémorragique)
  • coagulopathie : maladie de von Willebrand, angiostrongylose
  • tumeur cérébrale primitive (méningiome, gliome, tumeur hypophysaire, tumeur de plexus choroïde) ou secondaire (hémangiosarcome, lymphome, sarcome histiocytaire).

Comme lors d’AVC ischémique, la découverte d’un AVC hémorragique impose la réalisation d’autres examens complémentaires :

  • mesure de pression artérielle
  • analyses sanguines de routine : NFS, biochimie complète
  • temps de saignement gingival
  • temps de coagulation (TQ, TCA)
  • analyse urinaire incluant un RPCU
  • sérologie Angiostrongylus et Leishmania
  • radiographies thoraciques et échographie abdominale ou scanner thorax/abdomen.

BIBLIOGRAPHIE

Arnold SA, Platt SR, Gendron KP et coll. Imaging ischemic and hemorrhagic disease of the brain in dogs. Front Vet Sci 2020 ; 27(7):279

Boudreau. An update on cerebrovascular disease in dogs and cats. Vet Clin North Am Small Anim Pract 2018 ; 48 : 45-62

Garosi LS. Cerebrovascular disease in dogs and cats. Vet Clin North Am Small Anim Pract 2010 ; 40 : 65-79.